れんしゃ矯正歯科の安心ポイント
元気な挨拶を忘れずに
絶えず笑顔を忘れずに、大きく元気な挨拶で
患者さまと向き合います。
治療にはストレスがつきものです。
少しでも気持ちが明るくなるように、
私たちが全力でサポートいたします。
治療の際の3つの安心ポイント
患者様ひとり一人に誠意をもって、
丁寧な治療と、わかりやすい説明を。
様々なパターンの治療例や装置を、
写真でわかりやすく説明します。
治療のステップ毎に、写真やレントゲン撮影し、
進行状況の詳しい説明をします。
定期的にレントゲンや写真撮影を
行い、治療経過をご説明します

お口の中の写真は数か月毎に撮影し、噛み合わせや歯並びの変化をご確認いただいています。
また、外から見ただけではわからない成長変化、歯や歯根の向き、骨の状態などを把握するため、定期的にレントゲン撮影を行い、患者さまに治療経過をご説明しています。
レントゲン撮影の回数が増えると、放射線被曝が心配だという方もいらっしゃるかと思いますが、当院のレントゲン機器は、すべてデジタルレントゲンとなっております。
そのため、放射線被曝量が低減されていますのでご安心ください。
安心できる環境づくり
当たり前のことを忘れずに
常に院内、診療室は清潔に保ちます。
待ち時間を短くしています。
待合室はリラックスしていただけるよう
落ち着いた空間を。
器具、機器の滅菌に力を入れています。
滅菌できない場合は、ディスポーザブル製品
(使い捨て)を使用しています。
デジタルレントゲンを導入し、撮影時の
被爆線量を極力低減します。
デジタルレントゲン
3DCT・ワンショットセファロ

当院では、低線量型でありつつも高精細/高解像度機能を持ったデジタルレントゲン撮影装置を導入しています。歯科矯正治療では骨・歯の状態や位置を三次元的に正確に把握する必要があります。CT画像は、3Dで歯や骨の形状をあらゆる方向から詳細に確認でき、矯正歯科治療の診断・治療に欠かせません。
また体動によるブレの影響を受けやすいセファロ撮影(頭部X線規格写真撮影)については、撮影時間が1秒以下のワンショットセファロを導入しています。鮮明なセファロ画像を撮影することができるだけでなく、被ばくリスクも大きく軽減されます。
衛生管理について
-
口腔内に使用する器具はスポルディングの分類に則り、適切な滅菌・消毒処理を徹底しています。
3wayシリンジのノズルについても患者様ごとに滅菌処理したものに交換しています。紙コップ、エプロンはすべて使い捨てです。
-
治療で使用する器具はウォッシャーディスインフェクター*(ホシザキ製)で洗浄消毒し、オートクレーブ(高圧蒸気滅菌器:ユヤマ社製)にて滅菌処理しています。
*ウォッシャーディスインフェクターは強力な水流を噴射し、洗浄後80℃10分以上の温湯、熱湯ですすぐことで微生物の希釈・除去が可能です。
-
高圧蒸気滅菌処理できない器具等についてはホルマリンガス消毒器が用いられてきました。しかし、ホルマリンガスによる人体への影響、環境負荷、滅菌レベル等の観点から現在、当院では使用していません。
そのため加熱滅菌処理できない器具については使い捨てで対応しています。
完全に滅菌することのできない歯ブラシやポリッシングブラシの再利用はしていません。
補助的清掃道具
(フロス、糸ようじ、歯間ブラシ)
照射器用カバー
PMTC時使用の
プロフィーブラシ、カップ
アプリケーター
-
歯科治療で多用されるハンドピース(歯を削ったり、クリーニングをする際に使用する器具)は構造が複雑で内部が中空になっています。スポルディングの分類ではセミクリティカルに該当しますが、加熱滅菌が必要とされています。そのため複雑な構造の機器の滅菌に適したオートクレーブ「iClave mini*」を導入しています。また滅菌処理前にハンドピース内部を洗浄・注油の処理を行う機器、ハンドピース自動洗浄・注油システム「iCare」も導入しています。しっかりした器具のメンテナンスを行うことで、安全で効率の良い診療を目指しています。
*オートクレーブ(高圧蒸気滅菌器)には、滅菌対象物により適した分類(クラス B・S・N)があり用途に応じて選択する必要があります。「iClave mini」はSクラスの滅菌器で中空のあるハンドピース内部までしっかり滅菌することができます。

-
それぞれの患者様の診療が終わり退室される度に、診察台(ユニット)の清掃、消毒を行っています。アルコールは汚染の主成分であるタンパク質を凝固させてしまうため、まず塩化ベンザルコニウムでユニット本体やその周辺、扉の取手などを清拭し、その後消毒用エタノールで清拭しています。
-
歯科用グローブはすべて使い捨てでアレルギーの原因になるラテックスグローブは使用せず、ニトリルグローブのみを使用しています。また飛沫が飛び散る処置の際にはフェイスガードを使用し交差感染対策を行っています。
-
歯型には唾液などが付着しているため流水下で洗浄後、アルジガード(塩素系除菌剤)で消毒し、模型作製を行っています。使用後の歯型や不要な石膏模型は産業廃棄物として、使用済みのワイヤーなどは感染性医療廃棄物として処理しています。
-
床装置、リテーナー、マウスピースなどの可撤式装置は、個別のディスポーザブル容器に入れ、超音波洗浄を行っています。
-
デンタルチェアユニットの吸引システムはバイオクリーンを用いて診療後毎日消毒しています。

矯正治療に伴う口腔衛生指導について

当院は矯正専門歯科医院なので「むし歯」の治療などは行っておりませんが、矯正歯科治療を開始する前に口腔衛生指導を実施しています。
またご来院いただく度に、患者さまのお口の中の健康状態の確認と、セルフブラッシングをメインとする口腔衛生管理も行っています。
患者さまの中には、矯正治療中に「むし歯」や「歯ぐきの問題」が見つかったり、歯の移動に伴い隠れていた「むし歯」が見つかる方もいらっしゃいます。
歯や歯ぐきに問題があると、適切な矯正治療を行うことができません。
そのため、
- 口腔衛生状態が不安定な方
- むし歯リスクや歯周病リスクが高い方
- 固定式装置(ブラケットやワイヤーなど)を使った矯正歯科治療を受けられている方
については、かかりつけ歯科医院での定期的なメンテナンスを推奨しています。
新型コロナウィルス感染防止に伴うお願い
新型コロナウィルス感染防止の観点から、
現在、唾液検査の実施を一時中断しています。
また治療の際に受けていただく
口腔内クリーニングについても、
飛沫防止のため患者様ご自身による
ブラッシングをお願いしています。
本来、口腔内クリーニング後に行う
フッ素塗布についてはその効果が
低下してしまう恐れがありますので、
ご自宅でのフッ素洗口をお勧めしております。
転医について
矯正歯科治療は同じ医療機関、同じ医師のもと、継続的に治療を続けることが望ましい治療ですが、
転勤や転居などにともない、やむをえず転院を考えなければならない場合もあるかもしれません。
しかし転院には、「治療方針の大幅な変更」「高額な矯正歯科治療費をどうするのか?」など、
大きなリスクがつきまといます。
「転医システム」で治療中の引っ越しも安心
当院が所属する日本臨床矯正歯科医会では、
患者さまが治療中に引っ越しすることになっても安心して治療を続けてもらえるよう、
引っ越し先に近い矯正専門歯科医院をご紹介するための「転医システム」を構築しています。
これまでの治療経緯や資料の引き継ぎだけでなく、
日本矯正歯科学会ならびに日本臨床矯正歯科医会が定める目安に則り、
矯正料金の返金を行なっています。
転勤の可能性があり、矯正歯科治療に踏み出せなかった方も安心してご相談ください。
矯正歯科治療中、虫歯や歯周病に
なってしまった場合には
歯磨きをがんばっても、矯正治療中、虫歯になってしまうこともあります。
当院は矯正専門医であり、虫歯や歯周病治療は行なっておらず、
その際には、かかりつけの歯科医院や提携歯科医院に治療を依頼しています。
矯正歯科治療の様々なリスクの可能性について
矯正歯科治療では様々な「リスク」が起こる可能性があります。
また、矯正歯科治療には「限界」もあります。
矯正歯科治療を開始される際には、これらのリスクと限界を理解していただく必要があります。
- 痛み・違和感
-
装置装着に伴う痛み、歯の移動に伴う痛みなどが生じます。これらの多くは一時的なものですが、痛みの感じ方には個人差があり、極めて強く持続する場合は治療を継続できないことがあります。
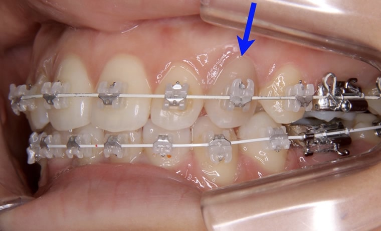
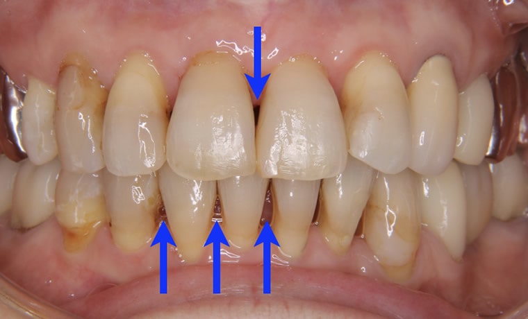
- 歯肉の病気
-
歯磨きが適切でない場合、歯ぐきの腫れや炎症などが起こります。その結果、歯を支えている歯槽骨の吸収や歯ぐきの退縮が起こる可能性があります。特に成人では、歯の移動とともに歯周組織(歯肉と歯を支える骨)がついていけず、歯肉退縮(歯茎が痩せる現象)やブラックトライアングル(歯と歯ぐきの間にできる空隙)が生じることがあります。歯周組織に大きな問題が認められた場合、矯正歯科治療を中断・終了することがあります。
- むし歯
-
歯磨きが適切でない場合、むし歯になる可能性があります。むし歯が発見された場合、必要な治療を受けていただきます。著しくむし歯が多い場合、治療を中断・終了することがあります。
- 口内炎
-
お口の中に装着した装置が口唇・舌・頬粘膜に当たり、口内炎ができることがあります。ワックスや口内炎用のお薬(アフタッチなど)で対処いただきますが、外れやすいワックスの代わりに樹脂で装置をカバーすることもあります。
- 歯根吸収
-
歯の移動に伴い、歯根が短くなってしまうことがあります。通常は問題になることはありませんが、著しい歯根吸収が起こった場合は歯の寿命にも影響を及ぼしてしまいます。著しい歯根吸収が起こった場合や、起こる可能性が高いと判断された場合は矯正歯科治療を終了し、必要に応じて処置を受けていただくことがあります。歯根の状態を確認するため定期的にレントゲン撮影を受けていただきます。

- 歯髄失活
-
歯の中の神経は、歯槽骨(骨)の中に続いています。通常、歯を移動してもこれらの神経が断裂することはありませんが、稀にこれらの神経の断裂が起こることがあります。どの程度の力がかかれば生じるのか分かっておらず、痛みなどの症状もなく急に歯の変色が生じてしまうことがあります。歯髄が失活すると歯自体が弱くなってしまうため、補綴処置などの適切な処置を受けていただく必要があります。


ホワイトニング後
- 歯根と歯槽骨の癒着
-
歯が歯槽骨と癒着している場合は、歯を動かすことができません。癒着が判明した場合は、治療方針の変更を行うことがあります。また、場合によっては矯正歯科治療の中断、補綴処置、外科処置を受けていただくことがあります。
- アレルギーなど
-
矯正歯科治療に用いる装置や材料に対するアレルギーが判明した場合、矯正歯科治療を中断することがあります。また矯正材料、矯正装置によって歯ぐきや頰粘膜の炎症や損傷が起きることがあります。
- 矯正装置の誤飲
-
矯正歯科治療では、非常に小さな装置を用いるため、突発的に飲み込んだり、気管に吸い込んだりする事故を起こす可能性があります。
- 顎関節
-
顎の痛み・顎関節での雑音・開口障害などが治療中あるいは治療後に起こる可能性があります。これらの症状と矯正歯科治療との関係は明確ではなく、歯科的治療をしていない人でも症状の出現と消失が繰り返されるのが普通です。しかし、噛み合わせに対して敏感な患者様では、これらの症状が起こりやすい可能性があります。これらの不快事項が極めて強い場合は、矯正歯科治療を一次中断もしくは終了し、顎関節の治療を受けていただくことがあります。
- 治療内容の変更
-
思わしくない顎の骨の成長、悪習癖、患者様の協力不足、環境の変化など、予測できないさまざまな条件により使用装置・抜歯部位・抜歯の本数・外科手術など、治療内容を変更する場合があります。また、場合によっては矯正歯科治療を中断する場合があります。
- 顔面骨格のずれ
-
顔面の成長のバランスが思わしくない場合や、顎の位置が不安定になることで顎関係に不調和が生じることがあります。このような状態になると、歯の移動だけでは機能的・審美的改善を得ることができなくなることがあります。この場合、外科手術を伴う処置が必要になる可能性があります。
- 治療の終了
-
歯の移動は、咀嚼機能や形態上の理由でさまざまな制限を受けます。治療目標の設定および治療の終了については歯科医師の判断に委ねてもらう必要があります。とくに、過度な審美的要求、生理的範囲を逸脱すると考えられる要求には応じられない場合があります。
- 後戻り
-
矯正歯科治療で移動させた歯が、咀嚼筋や舌の機能・習癖により経年的に位置変化を起こすことや、元々あった位置に戻ろうとすることはごく正常な現象です。動的矯正歯科治療終了後、保定装置をきちんと使用することによりこれらの思わしくない変化は減少します。また、矯正歯科治療を受けた、受けていないにかかわらず、加齢によって歯列は変化しますので、矯正歯科治療結果が永久に維持されるというわけではありません。
- 治療期間の延長
-
治療期間は、さまざまな理由(体質、患者様の協力状況など)により、当初の予測よりも遅れる場合があります。
治療に対する積極的な協力は、治療期間の短縮と治療結果の質の向上につながります。 - 定期的な検査
-
矯正歯科治療中の様々な変化を正確に把握するため、定期的にレントゲン撮影、写真撮影、歯型採得を行います。レントゲン撮影などの際に、事前の了承が必要な場合はお申し出下さい。
- 発音障害
-
マウスピースでの治療時や、歯の裏側に装置を装着すると発音が難しくなることがあります。とくにサ行・タ行・ラ行の発音が難しくなりがちですが、通常数週間以内に軽減します。
- 歯の咬耗と歯のひび(エナメルクラック・マイクロクラック)
-
歯の移動に伴い上下の歯が強く噛み合う箇所では、まれに歯の一部がすり減ってしまうことがあります。また治療中または装置除去時、歯の表面のエナメル質にクラックと呼ばれる小さな亀裂が生じることがあります。これは食事や咬み締めなど様々な原因で日常生活においても起こるもので、ほとんどの場合は症状がなく治療の必要もありません。知覚過敏症状が出てしまう場合は、適切な処置を受けていただきます。
- 歯の形態修正・修復治療
-
歯の大きさや形は人によってさまざまです。理想的な噛み合わせを得るために、歯の大きさや形態を修正・修復した方がよいことがあります。
- 歯の埋伏
-
骨の中に歯が埋伏して出てこない場合、歯を動かすことが難しい、あるいは不可能なことがあります。このような場合は、外科的に歯を露出させて装置を付けて引き出す(牽引)ことを試みますが、出てこないこともあります。これら、出てこない場合または牽引を試みることができない場合は、埋伏歯を抜歯して、人工的な歯で補わねばならないことがあります。
- 精神的な問題
-
精神的または神経症的な問題が発現し、矯正歯科治療を続けることが困難となった場合は、矯正歯科治療を中断し、必要に応じて専門医の診断および治療を受けていただく場合があります。
- 歯が動かない
-
歯を移動させるためには力をかけますが、どのような力をかけても歯が移動しないことがあります。この場合は矯正歯科治療を中断・終了することになります。
- その他
-
上記は起こりうるすべてのリスクと限界について網羅されておらず、その他の問題についても起こることがあります。





















