わが子の未来のためには、
親の愛と少しの勇気が必要です。
「いつ頃から始めればいいの?」
「治療費はいくらかかるの?」
大切なお子さまの矯正歯科治療に関する悩みなら、
矯正専門医院の当院に、
ぜひお気軽にご相談ください。

矯正は見た目のためだけに行うものでは
ありません。
お子さんの悪い歯並びをそのままにしておくと、「しっかり噛めない・虫歯・歯周病・発音障害」など、成長発育上様々な問題を引き起こします。
子どもの間に矯正歯科治療を受けていれば、自分の歯や咬み合わせに強い関心を持ち歯磨きの意識も高まります。
良い歯並びを保つことは、大人になってから後悔することの多い虫歯や歯周病に対する最大の予防といえるでしょう。
お子さんの矯正歯科治療に不安をおぼえるのは当然です

れんしゃ矯正歯科では、少しでもお子さんが楽しんで治療を続けられるように院内環境を整えています。
また保護者の方のお悩みや不安を少しでも解消できるよう、治療方針・料金・経過・結果を丁寧にわかりやすくご説明させていただいています。
お子さんの矯正歯科治療に不安をおぼえるのは当然です

当院を受診される半分以上の方が、子どもの患者様です。
受診される患者さまの中には、「なぜその歯を抜かれてしまったのか?」と思うケースや「矯正歯科治療は生え変わりを待ってからで良いですよ」とご説明するケースなど様々。中には「もっと早くご相談いただいていれば」と感じる事例も…。
情報化社会ではありますがインターネットの情報だけではわからないこともたくさんあります。
特にお子さんの「受け口」「歯の生え変わりが遅い(もしくは歯が生えてこない)」とお感じであれば早めの相談・受診をお勧めします。
れんしゃ矯正歯科の
子どもの矯正歯科治療方法

当院はお子さまに対する矯正歯科治療に関し、小学生のお子さまへの「第一期治療」と小学校高学年から
中学生に行う「第二期治療」の二段階による治療を採用しています。
これら異なるタイミングでの治療は、それぞれの目的も異なります。
しかし、いずれの段階であっても早期に治療を始めることは、良好な状態で永久歯へ生えかわるなど、
その後の発育に良い影響を与えることに違いはありません。
第一期治療
歯の生えかわりと、顔とあごの発達がポイント

永久歯が生えそろう6歳~12歳(小学生)
上下の前歯が生え変わる頃に、歯並びの問題点が浮かび上がってきます。「出っ歯」や「ガタガタ」などの場合、生えかわりのためのスペースを確保し、成長をコントロールする治療を行います。治療開始の目安は上下の前歯4本ずつが生え変わった頃です。
また症状によっては、この時期のみの治療で咬み合わせを改善できることがあります。
最小の負担で最大の効果を目指す装置を使用
第一期治療では最小の負担で最大の効果を目指すよう、「固定式装置」の使用はできるだけ短期間に抑え、
なるべく「取り外し可能な装置」の期間を増やすことで、痛みの少ない治療を行っています。
取り外し可能な装置の使用時間は基本的に就寝時のみなので、日常生活の支障になることはありません。
子どもの矯正歯科治療の通院頻度
子どもの第一期治療では、1か月半~3か月に
一度程度の通院が目安です。
第二期治療
美しく正しい咬み合わせの両立がポイント

永久歯が生えそろった後12~15歳
小学校高学年は最後の残った乳歯が抜ける時期にあたります。
また思春期成長が始まり、顔つきが「こども」から「大人」へと変化する時期にあたります。この成長の変化を利用すれば矯正歯科治療も順調にすすめることができます。
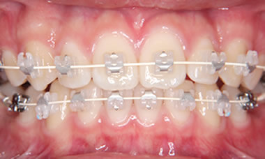
第二期治療での矯正装置
セラミックブラケットとホワイトワイヤー
第二期治療はなにかとデリケートな中学生頃に開始することになります。ギラギラした装置を目立つ前歯には着けませんのでご安心ください。それでもどうしても気になる方は、白いワイヤーを使ったり、うら側からの矯正歯科治療にするなど、選択肢は様々です。
- 受け口の早期治療
- 受け口は乳歯のとき(3−4歳頃)から気づきやすいものです。
受け口の治療は早く始めるのが効果的なのですが、早期の治療開始は治療期間が長くなるため、お子さまの負担だけでなく経済的な負担も増えてしまいます。
れんしゃ矯正歯科では、乳歯時期などの早期治療を行う場合、低料金で負担が少ない装置を使用した治療を行っています。
- 埋伏歯の治療
- また乳歯が抜けたのに永久歯はなかなか出てこない、反対側の永久歯が出てこない、など生え変わりの遅れは別の問題を含んでいる可能性があります。
レントゲン検査の上、歯の牽引処置(引っ張り出す処置)などを行うことがあります。
- MFT(口腔筋機能療法)
- 歯は唇・頬・舌に囲まれており、このうちのどれかに問題があると、歯並びや噛み合わせにも影響が出てしまいます。
なかでも舌が歯に与える影響は大きく、舌が原因で出っ歯や受け口、開咬などになってしまうケースがあります。
当院では、筋機能訓練法を習得した歯科衛生士が、口の筋肉のバランスを正すMFT(口腔筋機能療法)の指導をマンツーマンで行い、口腔周囲筋が原因で起こる不正咬合の改善を目指します。
- 歯磨きの重要性
- 矯正歯科治療がうまく進んで良い歯並びになったとしても、虫歯だらけで、腫れぼったい真っ赤な歯ぐきになってしまっては意味がありません。
れんしゃ矯正歯科では、矯正歯科治療専用の歯ブラシセットをご用意し、治療開始前に歯科衛生士の歯磨き指導を必ず受けていただきます。
子どもの矯正歯科治療の流れ
- 検査・口腔衛生指導
- お口の中の状態を検査します。歯磨きの状態も確認し、矯正歯科治療を開始する前に適切な歯磨き方法を指導します。
歯磨きの状態が改善すれば、矯正歯科治療を開始します。
- 診断
- お子さまの状況に応じた治療方針をご提案し、治療に使う装置・期間・治療費などを詳しくご説明します。
- 第一期治療
- 永久歯が生えそろう前の小学生向けの治療です。治療のタイミングを見極め、適切な治療を行います。
通院間隔は、およそ1か月半~3か月に1回です。
- 保定・成長観察
- 歯の生え替わりと顎骨の成長を見守りながら、虫歯予防などの口腔衛生管理を実施します。
- 再分析・再評価
- 永久歯が生えそろう時期に、精密分析と再評価を行い、第二期治療の必要性を判断します。
- 第二期治療
- 永久歯が生えそろった中学生以降の治療です。
すべての歯が良好な咬み合わせを獲得できるように、本格的な矯正歯科治療を開始します。
- 保定期間
- 歯が安定した状態に落ち着くまで「後戻り防止装置」(保定装置)を装着します。
定期的なチェックも行っていきます。






