症状別の矯正治療を紹介。
叢生(そうせい)

歯並びががたついていることを叢生と言います。
歯と歯列の大きさがアンバランスで、歯のサイズ>歯列のサイズになると叢生になります。逆に歯<歯列になると空隙歯列(すきっ歯、スペースアーチ)になります。
歯や骨格の大きさは遺伝的な影響が強いとされていますが、現代人の歯の大きさは徐々に大きくなり、骨格は小さくなる傾向にあるとされています。
乳歯のみが並んでいる時(5~6歳頃まで)に乳歯と乳歯の間に隙間がなければ、大きい永久歯に生え変わる際にスペースが不足しがたついた並びになってしまいます。
叢生を放置すると、虫歯や歯周病のリスクが格段に高まってしまいます。
重度の叢生になると噛み合わせの機能も悪化し、将来歯を失うリスクも高まってしまいます。
子供
混合歯列(乳歯と永久歯が歯列内に混在している時期:6~10歳頃)の場合は、歯列を大きくすることで叢生を改善できる場合があります。このケースでは取り外しできる拡大床装置を就寝時のみ約1年間、装着してもらいました。
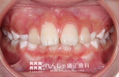
治療前


→
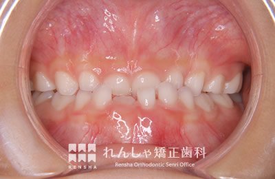
治療中(1年6か月後)


| 主訴 | 前歯のがたつき |
|---|---|
| 診断名 | Angle Class II 叢生を伴う上顎前突 |
| 初診時年齢 | 8歳0か月 |
| 装置名 | 拡大床装置 機能的矯正装置 |
| 抜歯非抜歯 | 非抜歯 |
| 治療期間 | 1年6か月 |
| 費用の目安 | 約32万円+消費税(検査料金、都度の処置費用等も合わせた総額) |
| リスク副作用 | 歯の移動に伴う軽微な歯根吸収、歯槽骨吸収、歯肉退縮(いずれも本症例ではほぼ無し)、矯正器具装着中のカリエスリスク増大(本症例ではカリエス発生無し) |
中高生
永久歯列はほぼ完成してしますが、歯列を側方だけでなく後方へも拡大し、埋まっていた右上奥歯を引っ張り出しています。
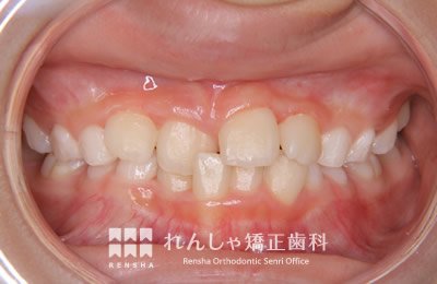
治療前



→
治療中



→
治療中



→
治療後



| 主訴 | 埋まったままでてこない歯がある |
|---|---|
| 診断名 | Angle Class II 小臼歯の埋伏と叢生を伴う上顎前突 |
| 初診時年齢 | 13歳5か月 |
| 装置名 | マルチブラケット装置 |
| 抜歯非抜歯 | 非抜歯 |
| 治療期間 | 2年3か月 |
| 費用の目安 | 約82万円+消費税(検査料金、都度の処置費用等も合わせた総額) |
| リスク副作用 | 歯の移動に伴う軽微な歯根吸収、歯槽骨吸収、歯肉退縮(本症例では軽度の歯根吸収を認めた)、矯正器具装着中のカリエスリスク増大(本症例ではカリエス発生無し) |
成人
歯列のサイズや形態を大きく変更することができませんが、歯列が極端に狭くなっている場合や、奥歯が前方に移動し前歯ががたついているケースでは、歯列の拡大や奥歯の後方移動を行うことで永久歯を抜歯せずにがたつきを改善できることがあります。このような場合はアライナー型(カスタムメイド)矯正(歯科)装置も治療の選択肢として有効です。
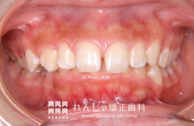
治療前



→
治療中



→
治療後



| 主訴 | 前歯のがたつき |
|---|---|
| 診断名 | Angle Class I 叢生 |
| 初診時年齢 | 18歳8か月 |
| 装置名 | マウスピース型カスタムメイド矯正歯科装置(製品名インビザライン・完成物薬機法対象外) |
| 抜歯非抜歯 | 非抜歯 |
| 治療期間 | 1年2か月 |
| 費用の目安 | 約55万円+消費税(検査料金、都度の処置費用等も合わせた総額) |
| リスク副作用 | 歯の移動に伴う軽微な歯根吸収、歯槽骨吸収、歯肉退縮(いずれも本症例ではほぼ無し)、矯正器具装着中のカリエスリスク増大(本症例ではカリエス発生無し) |
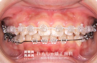
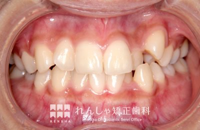
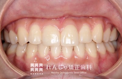
大きながたつきを歯列の拡大で改善しようとすると歯周組織へのダメージや後戻りが問題になります。この様な場合はスペースを確保するために永久歯を抜歯する方法を選択します。歯を抜いてしまうことに不安もあるかと思いますが、抜歯矯正が長い目で見たときにいい結果になることも多いと思います。
治療前



→
治療中



→
治療後



| 主訴 | 叢生 |
|---|---|
| 診断名 | Angle Class I 叢生 |
| 初診時年齢 | 27歳0か月 |
| 装置名 | マルチブラケット装置 |
| 抜歯非抜歯 | 上下顎左右第一小臼歯の抜歯(合計4本) |
| 治療期間 | 2年5か月 |
| 費用の目安 | 約93万円+消費税(検査料金、都度の処置費用等も合わせた総額) |
| リスク副作用 | 歯の移動に伴う軽微な歯根吸収、歯槽骨吸収、歯肉退縮(本症例では軽度の歯肉退縮を認めた)、矯正器具装着中のカリエスリスク増大(本症例ではカリエス発生無し) |
上顎前突(じょうがくぜんとつ)

上下歯列の前後関係がずれ、下歯列に対して上歯列が前突した状態を上顎前突と言います。いわゆる出っ歯で、骨格からずれている場合と、歯だけがずれている場合があります。また上あごが前突している場合、下あごが後退している場合など、状態は様々でそれぞれの状態に応じた治療方法が考えられます。
原因としては、骨格的な遺伝、口呼吸、舌癖、吸指癖などが挙げられます。
お子さんの場合、外傷(こけて上前歯を折ってしまうことも)、口呼吸に伴うお口の中の乾燥、噛み合わせの機能低下などが挙げられます。発音に問題が生じることもありますが、審美面(口元の前突感)を気にされる方もいらっしゃいます。上顎前突を放置すると、叢生(がたついた歯並び)と同様に将来歯を失ってしまうリスクが高まってしまいます。
子供
混合歯列(乳歯と永久歯が歯列内に混在している時期:6〜10歳頃)の場合は、上歯列を後退させたり、後方に押し込まれている下あごを前方へ誘導することがあります。舌癖や吸指癖が原因となっている場合は癖の改善(MFT:筋機能訓練)が効果的です。
治療前


→
治療中(3年8か月後)


| 主訴 | 出っ歯 |
|---|---|
| 診断名 | Angle Class II 上顎前突 |
| 初診時年齢 | 10歳0か月 |
| 装置名 | 拡大床装置 ヘッドギア 機能的矯正装置 |
| 抜歯非抜歯 | 非抜歯 |
| 治療期間 | 3年8か月 |
| 費用の目安 | 約36万円+消費税(検査料金、都度の処置費用等も合わせた総額) |
| リスク副作用 | 歯の移動に伴う軽微な歯根吸収、歯槽骨吸収、歯肉退縮(いずれも本症例ではほぼ無し)、矯正器具装着中のカリエスリスク増大(本症例ではカリエス発生無し) |
中高生
骨格の成長をまだ利用できる時期です。お子さんと同様に上歯列を後退させたり、下あごを前方へ誘導することで、永久歯を抜歯することなく上顎前突を改善できるケースもあります。また固定式装置の見た目が気になる年頃でもあるため、様々なタイプの装置を選択することも可能です。この方の場合、小学生の間、取り外し式の拡大装置やヘッドギアで主に上前歯の前突を改善しました。その後II期治療(本格的矯正治療)を行うことになりましたが、野球に打ち込んでおり月一回の受診も難しく、固定式装置での口の中の怪我も心配されたため、高校生になってからアライナー型(カスタムメイド)矯正(歯科)装置で仕上げの治療を行いました。
治療前



→
II期治療開始時



→
治療中



→
治療後



| 主訴 | 出っ歯 |
|---|---|
| 診断名 | Angle Class II 上顎前突 |
| 初診時年齢 | 11歳9か月 |
| 装置名 | 拡大床装置 ヘッドギア 機能的矯正装置 マウスピース型カスタムメイド矯正歯科装置(製品名インビザライン・完成物薬機法対象外) |
| 抜歯非抜歯 | 非抜歯 |
| 治療期間 | 4年6か月(一期治療、二期治療合わせて) |
| 費用の目安 | 約78万円+消費税(検査料金、都度の処置費用等も合わせた総額) |
| リスク副作用 | 歯の移動に伴う軽微な歯根吸収、歯槽骨吸収、歯肉退縮(いずれも本症例ではほぼ無し)、矯正器具装着中のカリエスリスク増大(本症例ではカリエス発生無し) |
大人
軽度の上顎前突であれば、上奥歯の後方移動で前歯の前突を改善することもありますが、上顎前突は叢生の問題も絡んでいることがほとんどで、永久歯の抜歯が必要になることがあります。また上奥歯の後方移動には矯正矯正用アンカースクリューの併用が効果的です。
治療前



→
治療中



→
治療後



| 主訴 | 出っ歯と前歯のがたつき |
|---|---|
| 診断名 | Angle Class II 上顎前突 |
| 初診時年齢 | 20歳7か月 |
| 装置名 | マルチブラケット装置 矯正用アンカースクリュー |
| 抜歯非抜歯 | 上下顎左右第二小臼歯の抜歯(合計4本) |
| 治療期間 | 3年2か月 |
| 費用の目安 | 約75万円+消費税(検査料金、都度の処置費用等も合わせた総額) |
| リスク副作用 | 歯の移動に伴う軽微な歯根吸収、歯槽骨吸収、歯肉退縮(本症例では軽度の歯肉退縮と歯根吸収を認めた)、矯正器具装着中のカリエスリスク増大(本症例では大臼歯にカリエスが発生し、その後う蝕処置)、上顎左側犬歯の失活 |
下顎前突(かがくぜんとつ)

上下歯列の前後関係がずれ、上歯列に対して下歯列が前突した状態を下顎前突と言います。いわゆる受け口で、骨格からずれている場合と、歯だけがずれている場合、噛み合わせによって下あごが前方へ誘導されている場合などがあります。また下あごが前突している場合、上あごが後退している場合など状態は様々で、それぞれの状態に応じた治療方法が考えられます。
原因としては、骨格的な遺伝がもっとも大きな要因になることが多いとされていますが、大きい舌や舌小帯の付着位置異常も原因の一つとされています。
噛み合わせ機能の低下、発音障害などが問題になりますが、極端に下あごが大きくなると受け口感の強い顔貌になってしまうことを気にされる方もいらっしゃいます。
子供
矯正歯科治療は前歯が乳歯から永久歯に交換してから開始することが一般的ですが、受け口に関してはさらに早期の治療開始が必要になるケースもあるため、健診等で受け口を指摘されれば矯正歯科医院を早めに受診されることをお勧めします。
就寝時に使用するマウスピース(歯列矯正用咬合誘導装置:ムーシールド) で受け口の改善が可能な場合もあります。ただしその後の成長も引き続き注意深く観察する必要があります。
治療前

→
治療中(3か月後)

→
治療中(8か月後)

→
治療中(1年6か月後)

| 主訴 | 受け口 |
|---|---|
| 診断名 | Angle Class III 下顎前突 |
| 初診時年齢 | 7歳0か月 |
| 装置名 | 歯列矯正用咬合誘導装置(ムーシールド) |
| 抜歯非抜歯 | 非抜歯 |
| 治療期間 | 2年4か月 |
| 費用の目安 | 約7万円+消費税(検査料金、都度の処置費用等も合わせた総額) |
| リスク副作用 | 歯の移動に伴う軽微な歯根吸収、歯槽骨吸収、歯肉退縮(いずれも本症例ではほぼ無し)、矯正器具装着中のカリエスリスク増大(本症例ではカリエス発生無し) |
骨格的に上あごが小さい場合は上あごを前方へ牽引することがあります。また上下前歯の噛み合わせが反対になっている場合は、様々な装置で正しい前後関係へ誘導することもあります。
治療前

→
治療中(3か月後)

→
治療中(10か月後)

| 主訴 | 前歯のがたつきと反対の噛み合わせ |
|---|---|
| 診断名 | Angle Class III 下顎前突 |
| 初診時年齢 | 9歳7か月 |
| 装置名 | 拡大床装置 |
| 抜歯非抜歯 | 非抜歯 |
| 治療期間 | 1年4か月 |
| 費用の目安 | 約32万円+消費税(検査料金、都度の処置費用等も合わせた総額) |
| リスク副作用 | 歯の移動に伴う軽微な歯根吸収、歯槽骨吸収、歯肉退縮(いずれも本症例ではほぼ無し)、矯正器具装着中のカリエスリスク増大(本症例ではカリエス発生無し) |
中高生
極端に大きい成長がある場合は治療が難しくなりがちですが、下奥歯を抜歯し下歯列を極力後退させることで受け口を改善できることもあります。
治療前



→
II期治療開始時



→
治療後



| 主訴 | 受け口 |
|---|---|
| 診断名 | Angle Class III 下顎前突 |
| 初診時年齢 | 13歳6か月 |
| 装置名 | マルチブラケット装置 |
| 抜歯非抜歯 | 下顎左側第二大臼歯 |
| 治療期間 | 2年3か月 |
| 費用の目安 | 約83万円+消費税(検査料金、都度の処置費用等も合わせた総額) |
| リスク副作用 | 歯の移動に伴う軽微な歯根吸収、歯槽骨吸収、歯肉退縮(本症例では軽度の歯肉退縮を認めた)、矯正器具装着中のカリエスリスク増大(本症例では前歯部に脱灰が生じた)、上顎左側犬歯の失活 |
成人
上あごが小さすぎる、もしくは下あごが大きすぎると上下の骨格が前後的に大きくずれてしまいます。この様な場合は外科矯正治療(外科手術を伴う矯正歯科治療)を選択することになります。外科手術を行うことであごの位置を変更できるので、顔貌の変化(しゃくれ感の改善など)も期待できます。
治療前


→
外科手術前


→
治療後


| 主訴 | 受け口と前歯のがたつき |
|---|---|
| 診断名 | 顎変形症(骨格性下顎前突) |
| 初診時年齢 | 20歳3か月 |
| 装置名 | マルチブラケット装置 外科手術 |
| 抜歯非抜歯 | 上顎両側第一小臼歯と下顎両側第二小臼歯(合計4本) |
| 治療期間 | 3年2か月 |
| 費用の目安 | 健康保険(本症例では当院での自己負担金額約30万円)+口腔外科での入院・手術費用(一般的に30~50万円) |
| リスク副作用 | 歯の移動に伴う軽微な歯根吸収、歯槽骨吸収、歯肉退縮(いずれも本症例ではほぼ無し)、矯正器具装着中のカリエスリスク増大(本症例ではカリエス発生無し) |
上下顎前突(じょうげがくぜんとつ)

上下の歯列やあごがともに前突した状態です。口元の前突感が強調され、上顎前突と同様に口が開いたままになりがちです。
子供
歯列やあごを上下同時に後退させることが難しく、お子さんの治療では効果が生じにくいとされています。ただし歯列の内側と外側の筋肉のバランスが崩れてしまうことで上下前歯が前突することもあり、MFT(筋機能訓練)が有効になることもあります。
中高生、大人
前突している上下前歯を後退させるには抜歯矯正がもっとも効果的です。一般的に永久歯を上下左右4本抜歯することになりますが、口元の前突感を大きく改善することができます。ただし年齢を重ねてから口元を大きく変化させると、ほうれい線などの問題が生じることもあります。
治療前




→
治療中



→
治療後




| 主訴 | 前歯の前突 |
|---|---|
| 診断名 | Angle Class I 上下顎前突 |
| 初診時年齢 | 18歳10か月 |
| 装置名 | マルチブラケット装置 |
| 抜歯非抜歯 | 上下顎左右第一小臼歯と上顎両側第二大臼歯の抜歯(合計6本) |
| 治療期間 | 2年1か月 |
| 費用の目安 | 約88万円+消費税(検査料金、都度の処置費用等も合わせた総額) |
| リスク副作用 | 歯の移動に伴う軽微な歯根吸収、歯槽骨吸収、歯肉退縮(いずれも本症例ではほぼ無し)、矯正器具装着中のカリエスリスク増大(本症例ではカリエス発生無し) |
開咬(かいこう)

上下の歯が垂直的に噛み合っていない状態を開咬(オープンバイト)と言います。臼歯(奥歯)が噛み合わないこともありますが、前歯の開咬(前歯が噛み合わない状態)が一般的で、奥歯に負担がかかり続けることで将来的に奥歯を失うリスクが高まるとされています。
骨格の問題や舌の使い方の問題、吸指癖などが大きく関連しています。
開咬は治療の難易度が高いだけでなく、元に戻ってしまいやすいため、治療後の保定も非常に重要になります。
子供
混合歯列(乳歯と永久歯が歯列内に混在している時期:6~10歳頃)の場合は、原因(吸指癖や舌癖)の除去がもっとも有効です。上歯列を後退させたり、下あごを前方成長誘導することもあります。
治療前

→
治療中(6か月後)

→
治療中(3年11か月後)

| 主訴 | 上前歯の前突 |
|---|---|
| 診断名 | Angle Class II 開咬を伴う上顎前突 |
| 初診時年齢 | 8歳10か月 |
| 装置名 | 拡大床装置 ヘッドギア 機能的矯正装置 |
| 抜歯非抜歯 | 非抜歯 |
| 治療期間 | 3年11か月 |
| 費用の目安 | 約38万円+消費税(検査料金、都度の処置費用等も合わせた総額) |
| リスク副作用 | 歯の移動に伴う軽微な歯根吸収、歯槽骨吸収、歯肉退縮(いずれも本症例ではほぼ無し)、矯正器具装着中のカリエスリスク増大(本症例ではカリエス発生無し) |
中高生
MFTの協力と、成長を利用することで永久歯を抜歯せずに開咬を改善することも可能です。この方の場合、小学生の間拡大装置やMFTで主に開咬を改善しました。その後マルチブラケット装置を使用し二期治療(本格的矯正治療)を行いました。
治療前

→
Ⅰ期治療完了時

→
II期治療中

→
治療後

| 主訴 | 前歯で噛めない |
|---|---|
| 診断名 | Angle Class III 開咬を伴う下顎前突 |
| 初診時年齢 | 7歳1か月 |
| 装置名 | 拡大装置 マルチブラケット装置 |
| 抜歯非抜歯 | 非抜歯 |
| 治療期間 | 5年11か月(一期治療、二期治療合わせて) |
| 費用の目安 | 約95万円+消費税(検査料金、都度の処置費用等も合わせた総額) |
| リスク副作用 | 歯の移動に伴う軽微な歯根吸収、歯槽骨吸収、歯肉退縮(いずれも本症例ではほぼ無し)、矯正器具装着中のカリエスリスク増大(本症例では前歯部に脱灰が生じた) |
成人
開咬は前歯の前突が組み合わさっていることも多く、永久歯の抜歯が必要になってしまうことがあります。
治療前


→
治療中


→
治療後


| 主訴 | 上前歯の前突 |
|---|---|
| 診断名 | Angle Class II 開咬を伴う上顎前突 |
| 初診時年齢 | 26歳8か月 |
| 装置名 | マルチブラケット装置 |
| 抜歯非抜歯 | 上顎両側第一小臼歯と下顎両側第二小臼歯(合計4本) |
| 治療期間 | 2年5か月 |
| 費用の目安 | 約86万円+消費税(検査料金、都度の処置費用等も合わせた総額) |
| リスク副作用 | 歯の移動に伴う軽微な歯根吸収、歯槽骨吸収、歯肉退縮(いずれも本症例ではほぼ無し)、矯正器具装着中のカリエスリスク増大(本症例では前歯部に脱灰が生じた) |
過蓋咬合(かがいこうごう)

上下の噛み合わせが垂直的に深い状態を言います。一般的には上前歯が下前歯を抱え込んでしまうため、出っ歯の噛み合わせになりがちです。また上前歯が下方向に伸びてしまうことで、笑ったときに上前歯の歯茎が露出し、ガミースマイルと呼ばれる状態になることがあります。
逆に下前歯が上前歯を抱え込んでしまうこともあり、この場合は受け口の噛み合わせになります。
子供
混合歯列(乳歯と永久歯が歯列内に混在している時期:6~10歳頃)の場合は、歯の垂直的な移動や、骨格の成長コントロールが行いやすく、深い噛み合わせを比較的短期間で改善できます。
治療前



→
治療中(1年6か月後)



| 主訴 | 下前歯のがたつき |
|---|---|
| 診断名 | Angle Class II 過蓋咬合を伴う上顎前突 |
| 初診時年齢 | 10歳8か月 |
| 装置名 | 機能的矯正装置 |
| 抜歯非抜歯 | 非抜歯 |
| 治療期間 | 1年4か月 |
| 費用の目安 | 約35万円+消費税(検査料金、都度の処置費用等も合わせた総額) |
| リスク副作用 | 歯の移動に伴う軽微な歯根吸収、歯槽骨吸収、歯肉退縮(いずれも本症例ではほぼ無し)、矯正器具装着中のカリエスリスク増大(本症例ではカリエス発生無し) |
大人
過蓋咬合が骨格に起因する場合や、噛む力(咬合力)が強い方は治療に時間がかかってしまいがちです。過蓋咬合の場合下前歯にがたつきが集中することがありますが、抜歯することでさらに過蓋咬合が悪化することもあるため注意が必要です。
治療前



→
治療後



| 主訴 | 噛み合わせが悪い |
|---|---|
| 診断名 | Angle Class II 過蓋咬合と叢生を伴う上顎前突 |
| 初診時年齢 | 27歳7か月 |
| 装置名 | マルチブラケット装置 |
| 抜歯非抜歯 | 上顎両側第一小臼歯と下顎両側第二小臼歯(合計4本) |
| 治療期間 | 3年10か月 |
| 費用の目安 | 約95万円+消費税(検査料金、都度の処置費用等も合わせた総額) |
| リスク副作用 | 歯の移動に伴う軽微な歯根吸収、歯槽骨吸収、歯肉退縮(本症例では軽度の歯根吸収を認めた)、矯正器具装着中のカリエスリスク増大(本症例ではカリエス発生無し) |
交差咬合・鋏状咬合(こうさこうごう・はさみじょうこうごう)

上下歯列の噛み合わせが水平的にずれてしまうことがあります。上下奥歯がすれ違ってしまう状態を鋏状咬合(シザーズバイト)、上下奥歯の噛み合わせが反対になってしまう状態を交差咬合(クロスバイト)と言います。
いずれも奥歯の噛み合わせが大きくずれているため放置することで顔が歪んでしまったり、しっかり咬めなくなるだけでなく、奥歯を失ってしまうリスクが極端に高くなるとされています。
子供
上歯列が狭く、上下奥歯の噛み合わせが反対になっている場合(交差咬合)、下あごが噛み合わせの悪い方向に向かって誘導されていることがあります。放置すると顔が歪んでしまうことがあるため、上歯列の拡大が必要です。
治療前



→
治療中(4か月後)



→
治療中(4年8か月後)



| 主訴 | 前歯のがたつき |
|---|---|
| 診断名 | Angle Class II 下顎の左側偏位と叢生を伴う上顎前突 |
| 初診時年齢 | 9歳8か月 |
| 装置名 | 拡大装置 機能的矯正装置 |
| 抜歯非抜歯 | 非抜歯 |
| 治療期間 | 4年8か月 |
| 費用の目安 | 約42万円+消費税(検査料金、都度の処置費用等も合わせた総額) |
| リスク副作用 | 歯の移動に伴う軽微な歯根吸収、歯槽骨吸収、歯肉退縮(いずれも本症例ではほぼ無し)、矯正器具装着中のカリエスリスク増大(本症例ではカリエス発生無し) |
中高生
上下歯列の幅が合わず、上下奥歯の噛み合わせがすれ違っている場合(鋏状咬合)、下あごが噛み合わせの悪い方向とは反対に向かって誘導されていることがあります。過蓋咬合を伴っていることも多く、すれ違っている奥歯の改善には時間がかかってしまうことも多いため、早期発見と早期治療が重要です。
治療前


→
治療中


→
治療後


| 主訴 | 前歯の隙間と歯ぎしり |
|---|---|
| 診断名 | Angle Class II 過蓋咬合を伴う上顎前突 |
| 初診時年齢 | 14歳5か月 |
| 装置名 | マルチブラケット装置 |
| 抜歯非抜歯 | 上顎両側第一小臼歯(合計2本) |
| 治療期間 | 2年8か月 |
| 費用の目安 | 約89万円+消費税(検査料金、都度の処置費用等も合わせた総額) |
| リスク副作用 | 歯の移動に伴う軽微な歯根吸収、歯槽骨吸収、歯肉退縮(いずれも本症例ではほぼ無し)、矯正器具装着中のカリエスリスク増大(本症例ではカリエス発生無し) |
成人
奥歯がすれ違った状態が長く続くと上奥歯は外側に、下奥歯は内側にそれぞれ大きく傾いてしまいます。このまま放置すると上下奥歯はさらに傾いてしまい、まったく噛めなくなってしまいます。
初診




→
治療中




→
治療後




| 主訴 | 噛み合わせが悪い |
|---|---|
| 診断名 | Angle Class I 左側臼歯部の鋏状咬合を伴う叢生 |
| 初診時年齢 | 20歳0か月 |
| 装置名 | マルチブラケット装置 |
| 抜歯非抜歯 | 非抜歯 |
| 治療期間 | 2年8か月 |
| 費用の目安 | 約83万円+消費税(検査料金、都度の処置費用等も合わせた総額) |
| リスク副作用 | 歯の移動に伴う軽微な歯根吸収、歯槽骨吸収、歯肉退縮(本症例では軽度の歯肉退縮と歯根吸収を認めた)、矯正器具装着中のカリエスリスク増大(本症例では大臼歯にカリエスが発生し、その後う蝕処置) |
空隙歯列(くうげきしれつ)

歯並びががたついていることを叢生と言いますが、逆にスペースが余り歯と歯の間に隙間が開いている状態を空隙歯列(すきっ歯、スペースアーチ)と言います。
歯に問題があるケースとして、歯の本数がもともと少ない場合や(先天的欠損)、歯の大きさが小さい場合(矮小歯)が考えられます。また歯列が大きいことも空隙歯列の原因になりますが、骨格が大きい場合や、舌が歯列を押し広げてしまうこともあります。噛み合わせが原因になることもあり、過蓋咬合の場合上歯列にはスペースが開いてしまいがちです。
子供
上前歯の真ん中に隙間ができることを正中離開と言いますが、長い上唇小帯(上くちびると歯茎を結ぶスジ)が原因になることがあり、早期の小帯切除が必要になることがあります。

中高生
過蓋咬合が原因で上前歯に空隙が開いてしまっている場合は、成長のコントロールが重要になります。
治療前



→
治療中



→
治療後



| 主訴 | 上前歯の前突とすきっ歯 |
|---|---|
| 診断名 | Angle Class II 過蓋咬合を伴う上顎前突 |
| 初診時年齢 | 15歳11か月 |
| 装置名 | マルチブラケット装置 |
| 抜歯非抜歯 | 非抜歯 |
| 治療期間 | 1年8か月 |
| 費用の目安 | 約78万円+消費税(検査料金、都度の処置費用等も合わせた総額) |
| リスク副作用 | 歯の移動に伴う軽微な歯根吸収、歯槽骨吸収、歯肉退縮(いずれも本症例ではほぼ無し)、矯正器具装着中のカリエスリスク増大(本症例ではカリエス発生無し) |
成人
前歯に空いているスペースを放置していると歯茎が徐々に痩せてしまい、歯並びや噛み合わせが不安定になってしまいがちなので、スペースを閉鎖ししっかり維持することが大切です。
治療前



→
治療中



→
治療後



| 主訴 | すきっ歯 |
|---|---|
| 診断名 | Angle Class I 空隙歯列 |
| 初診時年齢 | 29歳0か月 |
| 装置名 | マルチブラケット装置 |
| 抜歯非抜歯 | 非抜歯 |
| 治療期間 | 1年8か月 |
| 費用の目安 | 約83万円+消費税(検査料金、都度の処置費用等も合わせた総額) |
| リスク副作用 | 歯の移動に伴う軽微な歯根吸収、歯槽骨吸収、歯肉退縮(いずれも本症例ではほぼ無し)、矯正器具装着中のカリエスリスク増大(本症例ではカリエス発生無し) |
先天性欠損(せんてんせいけっそん)

永久歯が先天的に欠損してしまうことがあります。とくに前から2番目(側切歯)、5番目(第二小臼歯)、7番目(第二大臼歯)が無くなってしまうことが多く、2番目や5番目の永久歯が無い場合、乳歯が残ったままになることがあります。残った乳歯の多くは成人後、遅くとも30~40歳代には抜けてしまうことがほとんどなので、将来補綴処置(ブリッジやインプラントなど)が必要になってしまいます。周辺の歯を移動して欠損部分をご自身の歯で補ってしまえば補綴処置を避けることができます。
このような処置はすべての永久歯の排列が必要なので、永久歯の並びが完成してから(中学生以降)開始する方が治療期間の短縮につながります。ただし欠損部分を長く放置すると骨が痩せてしまい、歯の移動が難しくなってしまいがちです。そのため10代での治療をお勧めします。
治療前




→
治療中




→
治療中




→
治療後




| 主訴 | 永久歯の欠損 |
|---|---|
| 診断名 | Angle Class I 叢生 |
| 初診時年齢 | 13歳9か月 |
| 装置名 | マルチブラケット装置 |
| 抜歯非抜歯 | 上顎右側第二小臼歯、下顎右側第二小臼歯、上下顎左側第二乳臼歯(永久歯は合計2本) |
| 治療期間 | 2年9か月 |
| 費用の目安 | 約88万円+消費税(検査料金、都度の処置費用等も合わせた総額) |
| リスク副作用 | 歯の移動に伴う軽微な歯根吸収、歯槽骨吸収、歯肉退縮(いずれも本症例ではほぼ無し)、矯正器具装着中のカリエスリスク増大(本症例ではカリエス発生無し) |
埋伏(まいふく)

永久歯が埋まったまま自然に萌出しないことがあります。周辺の歯に引っかかっていたり、歯胚(歯の卵)の位置や方向が悪い場合、分厚い歯ぐきに覆われている場合など様々です。埋伏している永久歯が隣接する永久歯の歯根を吸収してしまうこともあるので、引っ張り出す処置(牽引処置)が必要になることがほとんどです。場合によっては埋伏歯を抜歯してしまうこともあります。
他の永久歯に比べて生えてくるのが遅い場合(右上前歯は出たのに、左上は半年経っても出ない等)は注意が必要です。
右上5番目が埋まったままになっているため、スペースを作り引っ張り出しています。
治療前

→
治療中

→
治療中

→
治療後

| 主訴 | 前歯のがたつき |
|---|---|
| 診断名 | Angle Class II 上顎右側第二小臼歯の埋伏を伴う上顎前突 |
| 初診時年齢 | 10歳10か月 |
| 装置名 | マルチブラケット装置 |
| 抜歯非抜歯 | 非抜歯 |
| 治療期間 | 2年1か月 |
| 費用の目安 | 約41万円+消費税(検査料金、都度の処置費用等も合わせた総額) |
| リスク副作用 | 歯の移動に伴う軽微な歯根吸収、歯槽骨吸収、歯肉退縮(いずれも本症例ではほぼ無し)、矯正器具装着中のカリエスリスク増大(本症例ではカリエス発生無し) |
右下7番目(12歳臼歯)がなかなか出てこないため、6歳臼歯を支えに引っ張り出しました。
治療前


→
治療中


→
治療後


| 主訴 | 前歯のがたつき |
|---|---|
| 診断名 | Angle Class I 叢生 |
| 初診時年齢 | 10歳10か月 |
| 装置名 | 舌側弧線装置 |
| 抜歯非抜歯 | 非抜歯 |
| 治療期間 | 3年10か月 |
| 費用の目安 | 約36万円+消費税(検査料金、都度の処置費用等も合わせた総額) |
| リスク副作用 | 歯の移動に伴う軽微な歯根吸収、歯槽骨吸収、歯肉退縮(いずれも本症例ではほぼ無し)、矯正器具装着中のカリエスリスク増大(本症例ではカリエス発生無し) |
上3番目が埋まったままになっていたため、スペースを確保し引っ張り出しました。
治療前



→
治療中


→
治療後



| 主訴 | 上の犬歯が出てこない |
|---|---|
| 診断名 | Angle Class I 上顎両側犬歯の埋伏を伴う叢生 |
| 初診時年齢 | 15歳5か月 |
| 装置名 | マルチブラケット装置 |
| 抜歯非抜歯 | 非抜歯 |
| 治療期間 | 2年10か月 |
| 費用の目安 | 約89万円+消費税(検査料金、都度の処置費用等も合わせた総額) |
| リスク副作用 | 歯の移動に伴う軽微な歯根吸収、歯槽骨吸収、歯肉退縮(いずれも本症例ではほぼ無し)、矯正器具装着中のカリエスリスク増大(本症例ではカリエス発生無し) |
異所萌出(いしょほうしゅつ)

永久歯が正常な位置から異なる場所や方向へ生えてしまうことがあります。周辺の永久歯にも悪い影響が生じやすいため、早期発見がポイントになります。
上奥歯(第一大臼歯、6歳臼歯)が1本手前の乳歯に引っかかってしまうことがあります。上あごが小さい方に多いことから、噛み合わせが受け口気味になっていることが多く、噛み合わせの改善も必要になることがあります。
治療前


→
治療中(5か月後)


→
治療中(3年1か月後)


| 主訴 | 噛み合わせが気になる |
|---|---|
| 診断名 | Angle Class I 開咬を伴う叢生 |
| 初診時年齢 | 7歳4か月 |
| 装置名 | マルチブラケット装置 |
| 抜歯非抜歯 | 非抜歯 |
| 治療期間 | 3年1か月 |
| 費用の目安 | 約42万円+消費税(検査料金、都度の処置費用等も合わせた総額) |
| リスク副作用 | 歯の移動に伴う軽微な歯根吸収、歯槽骨吸収、歯肉退縮(いずれも本症例ではほぼ無し)、矯正器具装着中のカリエスリスク増大(本症例ではカリエス発生無し) |
左上犬歯(3番目)が1番目と2番目の間から生えてしまったため、左上犬歯を一旦後方へ移動し、その後左上2番目の位置を整えました。
治療前


→
治療中


→
治療後


| 主訴 | 左上犬歯が変なところから出てきた |
|---|---|
| 診断名 | Angle Class I 叢生 |
| 初診時年齢 | 11歳10か月 |
| 装置名 | マルチブラケット装置 |
| 抜歯非抜歯 | 非抜歯 |
| 治療期間 | 2年5か月 |
| 費用の目安 | 約84万円+消費税(検査料金、都度の処置費用等も合わせた総額) |
| リスク副作用 | 歯の移動に伴う軽微な歯根吸収、歯槽骨吸収、歯肉退縮(いずれも本症例ではほぼ無し)、矯正器具装着中のカリエスリスク増大(本症例ではカリエス発生無し) |
補綴前矯正(ほてつまえきょうせい)
生まれつき永久歯の本数が少ない、むし歯や外傷などで永久歯を失った、永久歯の形や色調に難があるなど、矯正治療だけでは改善できないことも多々あります。このような場合、補綴治療で欠損部や形態、色調などを補うことになりますが、事前に矯正治療を行うことでより良い仕上がりにできるケースもあります。
補綴処置は20歳、早くても10歳代後半以降に受けることがほとんどなので、矯正治療も基本的には永久歯の並びが完成してからの治療になります。
下前歯の先天的欠損を長らく放置していた結果、下前歯の数カ所に隙間があいています。そのため、右下2番目に隙間を集めて、インプラント治療を受けていただきました。このケースで奥歯の噛み合わせに問題がなく、下前歯に問題が集中していたため、下歯列のみの部分矯正治療で対応できましたが、基本的には上下全ての歯の移動が必要になるケースが多いと思われます。
治療前


→
治療中


→
治療後


| 主訴 | 下前歯の隙間 |
|---|---|
| 診断名 | Angle Class I 空隙歯列 |
| 初診時年齢 | 30歳10か月 |
| 装置名 | マルチブラケット装置 |
| 抜歯非抜歯 | 非抜歯 |
| 治療期間 | 9か月 |
| 費用の目安 | 約28万円+消費税(検査料金、都度の処置費用等も合わせた総額) |
| リスク副作用 | 歯の移動に伴う軽微な歯根吸収、歯槽骨吸収、歯肉退縮(いずれも本症例ではほぼ無し)、矯正器具装着中のカリエスリスク増大(本症例ではカリエス発生無し) |

