大人の矯正症例 S.Tさん治療記録

S.Tさんは、日々患者さんの治療に活躍されておられる歯科医師。
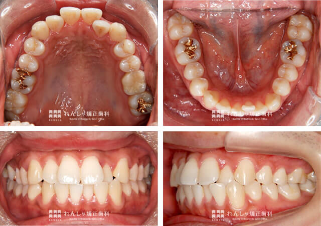
そんなS.Tさんの矯正歯科治療の内容は、前歯のがたつきを改善し口元を下げるというもの。
かつて院長が実習指導を担当した歯科大の学生だったS.Tさんは、指導を受けたことが縁となり、大学在学中から矯正歯科治療を開始されました。
S.Tさんの治療概要
前歯の前突がみられる場合はスペース確保のため永久歯の抜歯が必要な場合も
歯並びのがたつきが軽度であれば、永久歯を抜歯して並べる必要はありません。けれど、がたつきながら前歯が前突している場合、前歯を後退させるスペースを確保するため永久歯の抜歯が必要になってしまいます。
S.Tさんのがたつきは一見軽度ですが、上下前歯はともに前方へ傾斜しています。このような場合でも永久歯を抜かずに治療できない訳ではありません。
S.Tさんは、治療開始時点でまだ学生だったとはいえ、すでに歯科の知識は十分に勉強されていました。
非抜歯治療を選択することで考えられるマイナス面(前歯の前突が治りにくい、歯列の極端な拡大に伴う歯肉退縮や長期安定性など)は、十分に理解されていましたわけです。S.Tさんと話し合いの結果、永久歯を抜歯する方法で進めることになりました。
このような場合の処置では、上下左右4番目の永久歯(第一小臼歯)を抜歯することが一般的です。

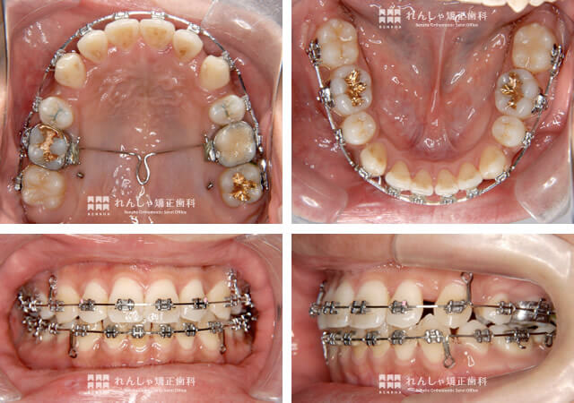
治療経過①
歯科矯正用アンカースクリューを使い上奥歯が前方へ移動するのを防ぐ

S.Tさんは治療に先立ち、前突している前歯の後退も希望されていました。前歯を後退させるためには、奥歯が前に動かないことが重要です。そのため以前は、ヘッドギアという寝る時に装着する帽子タイプの装置を使うことが一般的でした。
ただS.Tさんが治療を開始した2009年には、ヘッドギアに代わる歯科矯正用アンカースクリューの使用が一般的になりつつあったころ。
好奇心溢れるS.Tさんは、「せっかくの機会なので、色々なことを経験してみたい」と、歯科矯正用アンカースクリューを選択。当時では、最新の装置を使用した治療にチャレンジされました。
治療経過②
歯のがたつきが改善したので今後は上下前歯を後方へ牽引する
以下の症例写真のように、S.Tさんのがたつきの改善は進んでいます。今後は、残ったスペースを利用して上下前歯を後方へ牽引していく治療を行います。

治療途中では上下前歯の真ん中がずれてしまうこともありますが、最終調整では極力合わせるようにします。
ただし、骨格的にずれている場合にあえて合わせようとすれば、逆に噛み合わせの機能面に問題が生じることもあります。
骨格のずれが大きい場合、外科矯正治療(外科手術を伴う矯正治療)を選択せざるをえなくなります。しかしこれは、非常に大掛かりな治療になりますので、慎重な判断が必要です。
また左右の永久歯のサイズ差があると、合わせることができないこともあります。もちろんサイズ差が小さければ、形態修正で補うことが可能です。
治療経過③
スペースを閉じるために矯正用エラスティックを使用する

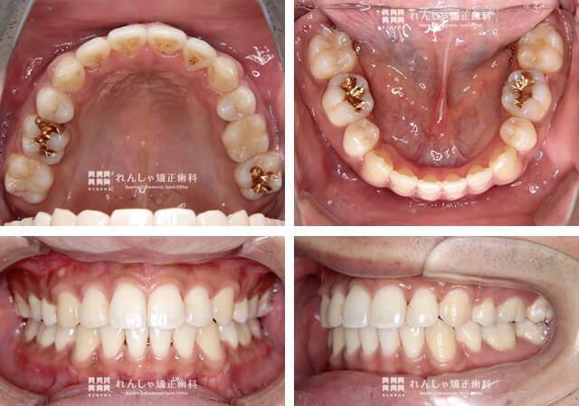
治療開始から約2年。S.Tさんの歯列のスペースは、ほぼ閉鎖しました。
上奥歯は歯科矯正用アンカースクリューで引っ張られ、上前歯も自動的に後方へ移動しますが、下前歯が前突したままでは上前歯を後退させることはできません。そのため、ご自身で上奥歯から下前歯に矯正用エラスティック(ゴム)を装着してもらうことにしました。
矯正治療で注意していただきたいこと
矯正歯科医として、患者さんに治療中ご協力いただきたいことは2点。
- 第一は、正しく丁寧な歯磨きの実施。
- 次に、適切な矯正用エラスティック(ゴム)の装着です。
S.Tさんはご自身が歯科学生ということもあるので、歯磨きの重要性はよく理解されています。けれど、矯正装置が装着された状態での歯磨きや矯正用エラスティックの装着は初めての経験。
歯磨きの方法については矯正担当の歯科衛生士から指導を受けてもらいましたが、さすがに歯科医を志すもの、すぐに歯間ブラシ、タフトブラシなどの使い方もマスターしてくれました。
矯正用エラスティックも、慣れるまで着け外しに苦労する方もいらっしゃいますが、すぐに慣れてくれました。大事な時期には食事・歯磨き以外の時間はずっと装着してもらうこともありましたが、すぐに脱着できるようになってくれました。
矯正治療を終えて

治療が終了しました。
当初目標にしていたがたつきの改善と口元の後退は達成できましたが、実はこのあと少し問題がありました。
矯正治療後は、歯の並びを維持するためにリテーナーを装着してもらうのですが、少し気を抜いてしまったのか前歯が少しがたついてしまいました。
このような状態を気付かずに放置していると、せっかくの治療が台無しになってしまいます。
治療終了時STさんはすでに歯科医師となっていらっしゃいました。ですから、ご自分の歯の変化には敏感です。すぐにマウスピース等で修正し、前歯を裏側から固定する処置を行いました。
矯正歯科治療を受けられた方、みなさんに共通することですが、歯は動き続けるものです。長年続けた矯正装置が外れた開放感に浸りすぎず、ぜひともリテーナーの装着を忘れずに続けてください。

| 主訴 | 叢生と上下前歯の前突 |
|---|---|
| 診断名 | Angle Class I 叢生 |
| 初診時年齢 | 24歳4か月 |
| 装置名 | マルチブラケット装置 |
| 抜歯非抜歯 | 上下顎左右第一小臼歯の抜歯(合計4本) |
| 治療期間 | 2年6か月 |
| 費用の目安 | 約86万円+消費税(検査料金、都度の処置費用等も合わせた総額) |
| リスク副作用 | 歯の移動に伴う軽微な歯根吸収、歯槽骨吸収、歯肉退縮(いずれも本症例ではほぼ無し)、矯正器具装着中のカリエスリスク増大(本症例ではカリエス発生無し) |

