大人の矯正症例 E.Kさん治療記録

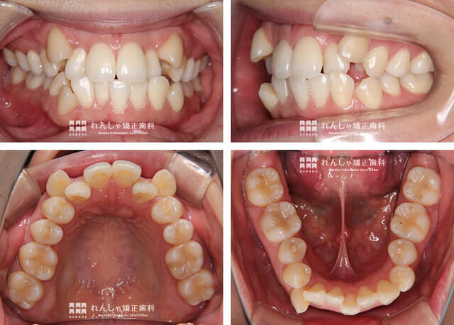
今回ご紹介するのは、明るくほがらかな笑顔のE.Kさんの症例。治療前の歯並びは、かなりガタガタ(叢生)で、八重歯が目立つ状態でした。矯正治療するきっかけは、ご結婚を間近に控えられていたこと、それに歯科衛生士であるご友人に勧められたからなのだとか。
E.Kさんの治療概要
治療に際しては、上下左右の永久歯を4本抜歯し、がたつきの改善を行いました。
治療経過①
悪い歯並びの代表とされるのが八重歯

永久前歯4本と6番目(6歳臼歯)は小学校低学年で萌えますが、前歯と臼歯の間の永久歯3本は小学校高学年頃に生え変わりが完了します。
上は前から4→5→3の順番に、下は前から3→4→5の順番に生え変わることが多く、生え替わりの際にスペースが不足していると、上歯列では最後に生えてくる3番目の犬歯が外側にはみ出し八重歯になってしまいがちです。
日本では八重歯は可愛いとされていましたが、完全に誤った認識で、噛み合わせの悪化、むし歯リスクが極端に悪化するなど、様々な問題をはらんでいます。
E.Kさんの治療では八重歯以外にもガタガタを改善するために小臼歯を4本抜歯する方法を提案しました。抜歯せざるを得ないことは覚悟されていた様ですが、実際に抜歯するとなると不安や恐怖を感じられることもあるかと思います。
28本全ての永久歯がしっかり噛み合うのが理想ですが、現状の噛み合わせでしっかり咬めているのは奥歯だけで、前歯はしっかり咬めていません。
このまま放置することで遠い将来、自分の歯を失ってしまう恐れがあることから、4本の歯に犠牲になってもらうことで残り24本の永久歯がしっかり噛める状態を作ることに納得いただきました。
永久歯を抜歯しない方法もありますが、これ以上大きくできない骨格に対して無理やり歯を広げて並べることで一旦がたつきはなくなるかもしれませんが、長期安定性や歯周組織への負担を考えると、選択できる方法ではありませんでした。
治療経過②
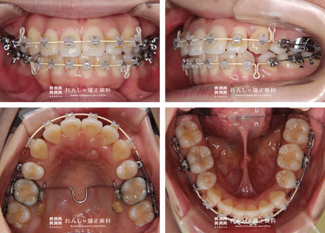
治療の初期は非常に細く柔らかいワイヤーを使用する(形状記憶)

矯正治療の初期は、皆さんが想像されるよりも細いワイヤーを使った装置を使います。このワイヤーは、形状記憶機能を持つ柔らかいもの。しかしたとえそうであっても、治療の初期はかなり痛みを伴います。
気になる「痛み」なのですが、歯科医院で治療を受けている時はそこまでの痛みはありません。むしろ治療後、ご自宅に戻ってから、または次の日の朝にかなり痛くなったりします。
この痛みは2~3日で引く人もいれば、1週間くらい続いてしまう方もいます。脅かすわけではありませんが、患者さまによっては、「心が折れてしまいそうになった」と話される方もいるほど。しかし、徐々に慣れてくる方が多いですね。
青矢印
この時期はまだ、がたつきが大きい状態です。歯の表面に装置を装着すると、当然唇に装置がぶつかってしまい、口内炎になりやすい。とくに治療初期は慣れてもいないので、口内炎が頻発することも。ワックスでカバーしてもらうこともありますが、食事の際などに外れやすいため、よく当たる箇所にはこちらで樹脂製のカバーを施すこともあります。
黄色矢印
がたつきは、基本的に前歯に集中しがちです。重度のがたつきがあると、抜歯をしてもスペースがギリギリになる場合も少なくありません。また前歯のがたつきを解消している間に、奥歯が前方に移動してしまい、がたつきの解消が難しくなってしまうこともあります。
とくに上奥歯が前に移動してしまうと、出っ歯になってしまうので上奥歯の後方維持が重要になります。E.Kさまのケースでは、上奥歯を維持するために歯科矯正用アンカースクリューというネジを併用して対応しました。

治療経過③

上2番目が内側にはみだし、下前歯と反対の噛み合わせになってしまうことはよくあります。
この状況を見て、上2番目を外側に移動させると下前歯がブロックしてしまうことになり、上下2番目が干渉しあいます。乗り越えるには少なくとも数週間かかってしまい、非常に噛みにくい状態に陥ります。乗り越えようとしている2番目に強い力をかけると、周辺の歯茎が痩せてしまうこともあるので違和感はありますが出来る限り前歯に負担をかけない様にする必要があります。
治療経過④

下前歯と反対の噛み合わせになってしまう時期を乗り越えてしまえば、次は残ったスペースを使って前歯を後退させる治療に入ります。
この時期は歯列に、矯正治療中最大の力がかかっている時期でもあります。それもあって、矯正治療の痛みに慣れてきた患者さまからも、苦痛を訴えられることも珍しくありません。
調整から数日は固い食べ物を避けたり、場合によっては痛み止めを服用いただくこともあります。
治療経過⑤

ひと昔の矯正装置は、金属製のブラケットとワイヤーで組まれていたためギラギラしていました。そのため、「矯正=目立つ」というイメージをお持ちの方も多いかもしれません。しかし現在では、矯正装置の種類も進化し目立たないものも数多く出てきています。
ブラケットの素材は大きく分けて3種類
現在使われているブラケット(矯正装置)は、大きく分けて、セラミック・プラスチック・金属の3種類に分けられます。
れんしゃ矯正歯科では、基本的に前歯にはセラミック製のブラケットを使用しています。プラスチックはその特性上、吸水性があるため長期間の治療中に変色や変形、脱離の恐れもあります。そのためお子さんなど、短期間の治療以外では使用していません。
セラミック製のブラケットを使用すれば、「治療期間が伸びてしまう」という意見もあるようです。けれど私は、セラミックと金属による素材の違いで治療期間に差はでないのでは?と感じています。
もちろんセラミックが、壊れやすい・欠けやすい特性を持つのは事実です。ですから当院では、壊れたらその都度新しいものに交換するようにしています。
銀色の太いワイヤーは目立ちやすいので上歯列には、白いコーティングを施したワイヤーを使用。コーティングの弱いワイヤーもありますが、当院で使用しているワイヤーは基本的に1か月は保ちます。

治療経過⑥

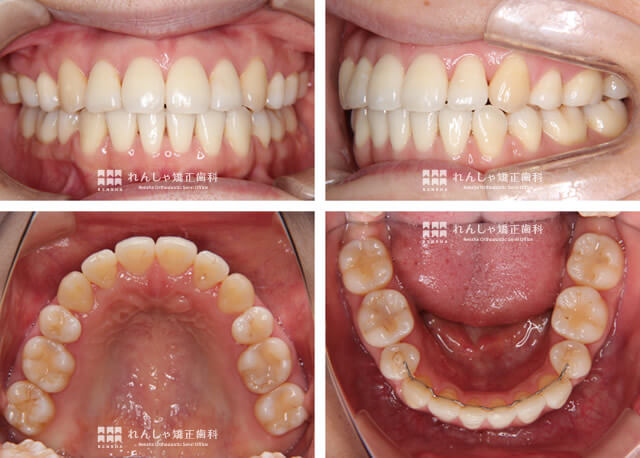
E.Kさまの矯正装置が外れました。装置を外してすぐは、歯茎の炎症が残っているケースもあります。
しかし歯磨きをしっかりしていたら、1ヶ月で綺麗な状態に戻りますのでご安心ください。
矯正治療は後戻りが心配
歯は元の位置に戻ろうとしますので、戻りにくい状態を意図的につくるのも大事です。
E.Kさまのケースでは、装置を外した状態で上2番目は大きく内側にずれていました。
これを単純に外側に倒して移動すると(傾斜移動)、2番目の歯根は内側に残ったままになってしまいます。
この状態のままで治療を完了してしまうと、歯根の位置に合わせて歯冠(歯の頭)が内側に戻ってしまう恐れがあります。それを防ぐには、上2番目の歯根も外側に移動させなければなりません。
この移動を「トルク」といいます。歯根のトルクコントロールには時間もかかるため、治療の最終段階で見た目があまり変わらないのに調整が何度か続いてしまうことがあります。しかしこの最後の微調整が大事。調整を怠ると、せっかく整えた歯列が元に戻りやすくなってしまうのです。
治療後にもとに戻りやすいのは前歯なので、上下前歯はともに裏側から固定したいところです。ただし上前歯を裏側から固定すると、虫歯になってしまう可能性が高くなります。
それもあって、どうしても固定が必要な場合を除き、多くのケースでは下前歯のみ固定しています。中は、下前歯を固定しつつ上下の歯ともにマウスピース(リテーナー)を装着してもらうようにしています。
当院では装置を外したあと、1か月は24時間装着、透明で目立たないマウスピースを装着するようにお願いしています。1か月経過後は、お家にいるとき ⇒ 夜間 ⇒ 就寝時と順次、マウスピースの装着時間をへらしてもらう指導を行います。
患者さまにこのご協力をいただかないと、せっかく頑張ってきて整えた歯並びを維持することができません。

あとは数か月ごとに写真やレントゲンを撮って、後戻りや問題は生じていないか確認を続けます。当院では、リテーナーを就寝時に使用していただくようにお願いしています。
治療を終えて
治療後、笑顔の度に口元から美しく真っ白な歯がのぞくようになり、担当医としてもうれしい限りです。

| 主訴 | 叢生 |
|---|---|
| 診断名 | Angle Class I 叢生 |
| 初診時年齢 | 27歳0か月 |
| 装置名 | マルチブラケット装置 |
| 抜歯非抜歯 | 上下顎左右第一小臼歯の抜歯(合計4本) |
| 治療期間 | 2年5か月 |
| 費用の目安 | 約93万円+消費税(検査料金、都度の処置費用等も合わせた総額) |
| リスク副作用 | 歯の移動に伴う軽微な歯根吸収、歯槽骨吸収、歯肉退縮(本症例では軽度の歯肉退縮を認めた)、矯正器具装着中のカリエスリスク増大(本症例ではカリエス発生無し) |

