大人の矯正症例 C.Nさん治療記録

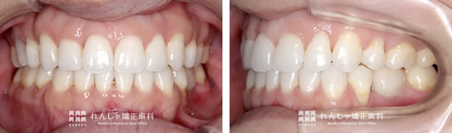
C.Nさんの治療概要
このままでは物を噛むことができなくなるかも…そんな危機感から、矯正治療を決意される
前突した前歯は下前歯とズレが生じており、うまく噛むことができません。CNさんの場合、左下奥歯はむし歯治療で、一部の歯根を何とか残す処置を受けられていました。
ただ矯正治療開始前の時点では、わずかに残った歯根もダメになりかけていた状態。C.Nさん自身も、「このままでは、前歯だけでなく奥歯も噛めなくなってしまう」という危機感をお持ちでした。このような噛み合わせの問題もあって、C.Nさんは矯正治療に踏み切られた訳です。

治療経過①
ご希望は裏側からの矯正治療だったが、より確実な歯の外側からの治療に
C.Nさんのご希望は、目立たない歯の裏側での治療でしたが、当時大学病院でこの治療方法は実施されていませんでした。そこで、一般的な(外側からの)矯正治療を受けていただけませんか?とお尋ね。

当所ご希望された治療方法ではありませんでしたが、説明を行ったところC.Nさんはご納得くださいました。

矯正治療にあたり、まずは『出っ歯』になっていた上前歯を引っ込めるため、上下左右4本の永久歯を抜歯しました。
治療経過②
矯正治療による違和感や痛みよりも、歯科矯正用アンカースクリュー埋入時の「音」の方がつらかった

通常、開咬を治すためには、上下の前歯をそれぞれ下方と上方へ引っ張り出す必要があります。同時に、上奥歯を上方へ持ち上げることも重要になります。そのため歯科矯正用アンカースクリューを埋入させてもらいました。

一般的に矯正治療では、装置が当たる違和感や歯を移動させる際の痛みに苦しまれる方が多いもの。しかしC.Nさんによると、この“アンカースクリューの処置の音”が矯正治療中でいちばん嫌だったそう。逆に、矯正自体治療に対する違和感や痛みを訴えられたことはほとんどありませんでした。
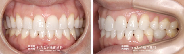
矯正治療を終えて
治療を終えた後も、C.Nさんにはリテーナーで歯並びの維持をつづけてもらっています
治療を進める上で、左下奥歯を抜歯せざるをえなくなったC.Nさん。抜歯した部分には、歯科インプラント治療を受けていただくことに。
C.Nさんは、すでに治療後8年が経過していますが、毎日ではないもののリテーナーの装着を続けてもらっています。
リテーナーの装着を面倒に思われる方もいらっしゃいますが、歯並びを長く維持するには大事な事。聞けばCNさんは、リテーナーが習慣になっていらっしゃるとのこと。実際、歯並びもしっかり維持できています。

治療前は口元のことで人の目が気になっていたと話されていたC.Nさん。矯正治療は噛み合わせの改善も当然大事ですが、心理面での好影響も期待できます。
| 主訴 | 上前歯の前突 |
|---|---|
| 診断名 | Angle Class II 上顎前突 |
| 初診時年齢 | 35歳8か月 |
| 装置名 | マルチブラケット装置 |
| 抜歯非抜歯 | 上下顎左右第一小臼歯と下顎左側第一大臼歯の抜歯(合計5本) |
| 治療期間 | 2年8か月 |
| 費用の目安 | 約85万円+消費税(検査料金、都度の処置費用等も合わせた総額) |
| リスク副作用 | 歯の移動に伴う軽微な歯根吸収、歯槽骨吸収、歯肉退縮(本症例では軽度の歯肉退縮を認めた)、矯正器具装着中のカリエスリスク増大(本症例ではカリエス発生無し) |

